Quality Dental Veneers in Sydney
What are veneers?
Veneers are very thin shells of porcelain that are individually made to cover the surfaces of your teeth for a more stunning and aesthetically pleasing smile. The veneers are incredibly durable and stain-proof, making them a very popular choice for individuals looking to improve their teeth through cosmetic dentistry.
Types of veneers
There are a wide variety of veneers available to help give you the perfect solution for your smile needs. Our master ceramist located in Sydney offers custom-made veneers that are expertly matched and created to complement your natural teeth for a more polished, beautiful and complete smile that will last years.
Smile Confidently!
What makes us different
We work with two of Australia's most qualified ceramists to give you the highest quality for your custom-created veneers.
We are also able to create single porcelain veneers, which many dentists refuse to make.
We know how much a smile can mean, and are committed to helping make yours stand out from the rest.
We are also able to create single porcelain veneers, which many dentists refuse to make.
We know how much a smile can mean, and are committed to helping make yours stand out from the rest.
Australian made veneers
All of our materials and products are hand-crafted by our qualified ceramists in a local accredited dental laboratory in Australia, so you can rest assured knowing that all the materials are TGA approved.
Get in touch with our professional dental team for more information on your next veneer consultation today.
Get in touch with our professional dental team for more information on your next veneer consultation today.
Composite veneers
Composite veneers are one of the more cost-effective cosmetic dental solutions that are perfect for giving you a smile you can be proud to show off every day.
This type of veneer is more simple, as it eliminates the need to remove a layer of the tooth, and can be completed with just one visit to our practice.
This type of veneer is more simple, as it eliminates the need to remove a layer of the tooth, and can be completed with just one visit to our practice.
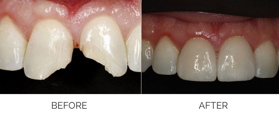
Our Veneer Gallery
Click on images to enlarge
Take a look through our photo gallery to get a better idea of what porcelain veneers can do for you.
These photos were taken using close-up macro photography in order to highlight the fit and the unparalleled attention to detail. Call our team today to discuss your next visit with our team for a veneer consultation.
Book an appointment today!
These photos were taken using close-up macro photography in order to highlight the fit and the unparalleled attention to detail. Call our team today to discuss your next visit with our team for a veneer consultation.
*These photos showcase results from real patients of Dr John Michalopoulos and have not been altered in any shape or form.
Call our experts for more info!
02 9251 8889
Send us your queries
Contact Us




